Skip to main content Accessible Version
Dental Implants
A healthy, beautiful smile starts here

Dental Implants | Dentist
Improve your smile today – call to schedule a consultation!
Claim Now!

Dental Implants

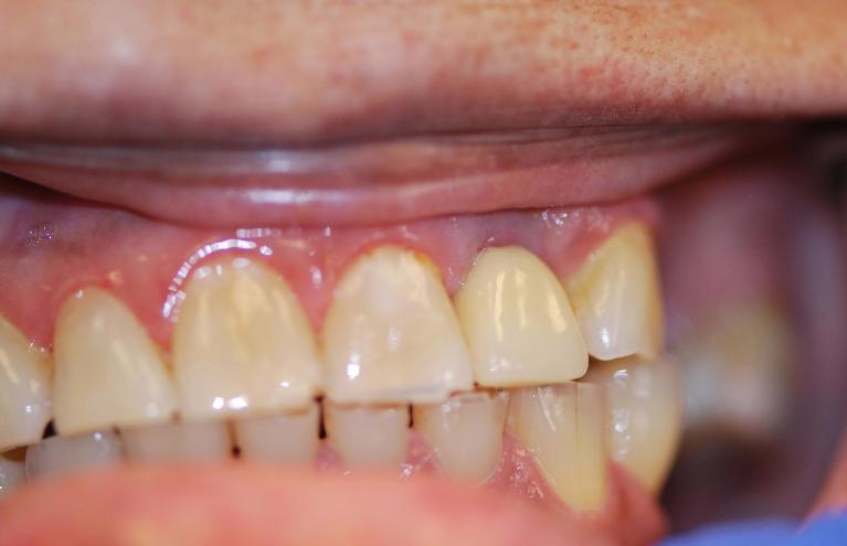
Modern dental implants offer a premium solution for replacement of missing teeth. Whether you’re missing one tooth or all of your teeth, implants offer a definitive replacement with beautiful esthetics. Implants positively impact your smile, ability to eat foods that you like, as well as add support for teeth adjacent to the missing tooth.

What is a Dental Implant?

An implant can be thought of a titanium post that we place into the jaw below the gum line where it can’t be seen. Over the titanium implant, Dr. Dicello will attach an abutment that serves as a post on which to cement a permanent, custom-made porcelain dental implant crown.

Implant planning begins well before implant surgery. At A Glowing Smile Dental Care, our professional dental team starts the implant process by taking detailed x-rays of the patient’s teeth to determine whether or not a patient is a good candidate for an implant. Depending on the patient’s needs, a CT scan is sometimes necessary to assist in the implant process. Using the images from the CT scan, a 3-D computer-generated surgical template is created to ensure that the implant is perfectly and precisely placed. This reduces any chance of the placement hitting important structures in the jaw such as sinus cavities or other teeth. The final result is a beautiful implant and crown that looks and functions like a natural tooth.

Your Dental Implant Appointment

Typically a dental implant is placed using only numbing anesthetic, like the kind you’ve had many times during a filling or crown. Once the patient’s mouth is numb and comfortable, an implant is gently placed using current and advanced implant placement technology. The implant placement process is typically completed in less than half an hour. Patients feel no pain and are able to talk during the procedure. 

You can expect the area to be numb for approximately two hours after implant placement, and typically any soreness is sufficiently treated with over-the-counter Tylenol or Motrin. Additionally, many patients are pleased to discover that no over-the-counter medication is even needed, as the procedure is so gentle.

After an implant is placed, Dr. Dicello may place a same-day crown on top of the implant abutment. In some cases, it may be best to delay the crown placement for three or more months to allow the implant to better lock into place. Every patient has different needs, and Dr. Dicello will determine which treatment will offer the best results for you. 

After an implant is restored with a cemented crown, only typical brushing, flossing and regular six-month cleanings are needed. Our A Glowing Smile Dental Care hygiene team is experienced and trained to understand implants, and therefore we use special implant-cleaning scalers to gently clean around the implant to ensure that it is properly protected to last for many years to come.

Dental implants are wonderful, long-lasting solutions to replace missing teeth. In the early 2000s, implants were very expensive and therefore financially impractical for many patients. However, thanks to advances in technology, implants are now an affordable part of dentistry. Your smile is for life and builds confidence that pays dividends both personally and professionally. 

Contact Us for a Dental Implant Consultation

If you are in need of an affordable, high quality dental implant, give us a call today at our Peoria dental office to find out how Dr. Dicello and our highly trained dental team can help you to achieve your best smile.

Frequently Asked Questions

Yes!  We offer a range of implant options to replace missing teeth. Dr. Dicello knows many patients wish to replace missing teeth with beautiful porcelain teeth but have been afraid of the costs or the thought of an unpleasant experience. Due to Dr. Dicello’s advanced education and training with dental implants and advances in dental implant science, Dr. Dicello is able to offer affordable dental implants to nearly everyone.

Dr. Dicello carefully examines each patient and discusses different options with them. All of our implant patients will be shown dental implant options on our 40-inch LCDs, which allow them to be a part of the planning process. Then Dr. Dicello uses digital x-rays and CT scans to plan a successful implant placement. Once an implant is placed, the artist-level building and ceramic layering of the implant crown begins. Along the way, patients can expect superb care, excellent communication, and most of all a beautiful, functional implant that will last for many years to come.

We know some patients haven’t been to the dentist in years and are interested in replacing all of their teeth with implants. We understand many of these patients are concerned with the cost and would just like to have a caring and likeable dentist to talk over options with.

If you’re a patient who would like to have an implant to replace a missing tooth or to make their denture fit better, give us a call today to schedule your personal consultation with Dr. Dicello!

Meet Our Doctor:

Anthony Dicello DDS

Anthony Dicello, DDS is the dentist and CEO of A Glowing Smile Dental Care. He is committed to compassionate care and is looking forward to meeting you with a friendly smile.

Dr. Dicello grew up in Washington, DC and graduated from the country's first dental school, the University of Maryland. After graduating, he joined the Indian Health Service on the Navajo reservation in Tuba City, Arizona. Dr. Dicello is the former dental director for John C Lincoln - HonorHealth. 

Dr. Dicello is a member of the Arizona Dental Association, the American Dental Association and the Academy of General Dentistry. He maintains medical staff ...

Featured Blog Posts - Dental Implants

October 6, 2022

Implant Dentures: A Permanent Solution to Tooth Loss

People who live with tooth loss often lose confidence in their appearance and smile. Tooth loss can also make chewing and eating food more challenging, and it can impact how a person speaks and pronounces words.

Many moons ago, dentures were what one imagined only grandmas and grandpas wear, but that's ...

April 13, 2017

Dental Implants – A Stable Solution for Missing Teeth

Tooth loss does not mean the end of enjoying your favorite foods or feeling confident about the way you look. Each patient is different when it comes to the tooth replacement option that will work best. That is why at A Glowing Smile Dental Care, we offer a number of choices to preplace missing teeth including dentures, bridges, and dental implants.

Oftentimes, patients are curious about the most stable solution – the one that is most like having their tooth back again. Dental implants provide patients with the most reliable and stable way to fill the gaps in their smiles. With dental implants, you can count ...

December 5, 2016

Dental Implants vs. Dental Bridges

If you are facing a dental extraction or recently lost a tooth, you may feel overwhelmed by all of the choices when it comes to all of the tooth-replacement options available today. When missing a single tooth, or just a few teeth, patients typically turn to fixed dental bridges or ...

Getting an appointment is fast and easy!
Get Started!