Accessible Version
A Glowing Smile Dental Care
A Great Dentist

Dental Implants

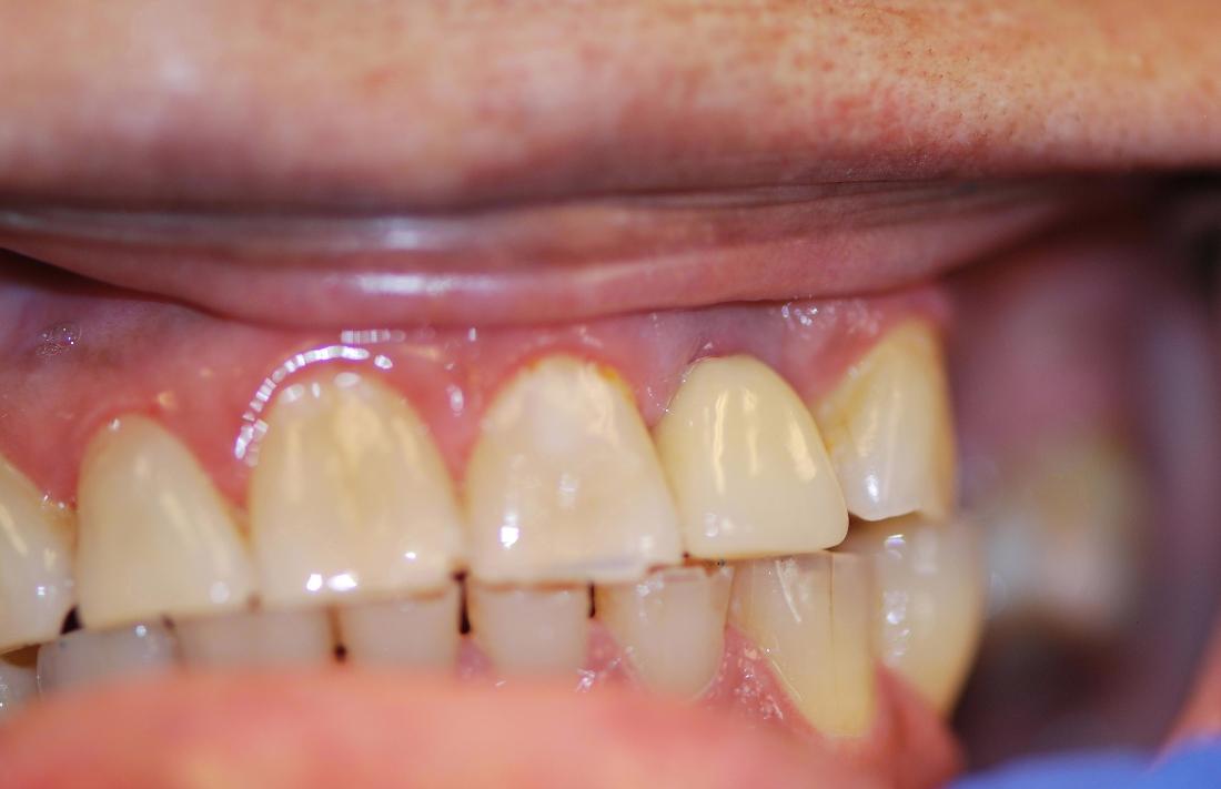
Carla was very uncomfortable with her missing front tooth and was wearing a removable denture-- a flipper. A dental implant was placed and she returned later for the new crown. The picture shows a shade guide and an implant in the site of where her front tooth was. After is the restored implant crown by Dr Dicello. An Emax crown was carefully layered for esthetics. It looks great and she should have it for many years to come! We're happy for you Carla. Keep smiling!

Related Services:

Dental Implants
Not finding what you need?
If you have difficulty using our website, please email us or call us at (623) 486-5566